Post And Core
Sitting in the dentist’s chair can often feel like listening to a foreign language. You might have gone in expecting a routine check-up or perhaps the final steps of a root canal, only to hear your dentist mention that you need a “post and core.”
If that phrase sounds a bit like construction terminology, you aren’t far off. Just as a building needs a strong foundation to stay upright, your tooth sometimes needs extra support to handle the daily grind of chewing and biting.
Hearing that you need an additional procedure can be stressful, especially if you thought your dental work was almost finished. But don’t worry—a post and core is actually good news. It means your dentist sees a way to save your natural tooth rather than extracting it. Here is everything you need to know about what this procedure is, why it’s necessary, and what you can expect.
Why Do I Need a Post and Core?
To understand why a post and core is necessary, we first have to look at what happens during a root canal. When a tooth is infected, a root canal procedure removes the pulp (the nerve and blood vessels) from inside the tooth. While this gets rid of the infection and pain, it also leaves the tooth hollow.
For many teeth, simply filling this hollow space is enough. However, if a significant portion of the tooth’s visible structure was lost to decay or fracture, there might not be enough “tooth” left to hold a dental crown in place.
Think of it like trying to put a thimble on a flat table—it just slides off. A crown needs something to grip onto. If your natural tooth is too short or too damaged to offer that grip, the post and core build a new foundation. It recreates the centerer of the tooth, so the final crown has a solid anchor.
Post and Core vs. Dental Implants
There is often confusion between a “post” and an “implant” because they sound similar in function. It is important to distinguish between them:
- A Dental Implant is used when the entire tooth is missing. It is a metal screw placed into the jawbone to replace the root of a missing tooth.
- A Post is used when the natural roots are still there. It is a small rod placed inside your existing tooth root to supportstrengthen the visible part of the tooth.
If your dentist is recommending a post and core, it is a victory—it means your natural root is healthy enough to stay!
The Step-by-Step Procedure
The process is generally straightforward and usually happens after your root canal has healed, though sometimes it can be done at the same appointment.
1. Preparing the Root Canal
Since the nerve has already been removed during the root canal, this part of the procedure is generally painless. The dentist uses special instruments to clear a small amount of the filling material (gutta-percha) from the root canal to make space for the post.
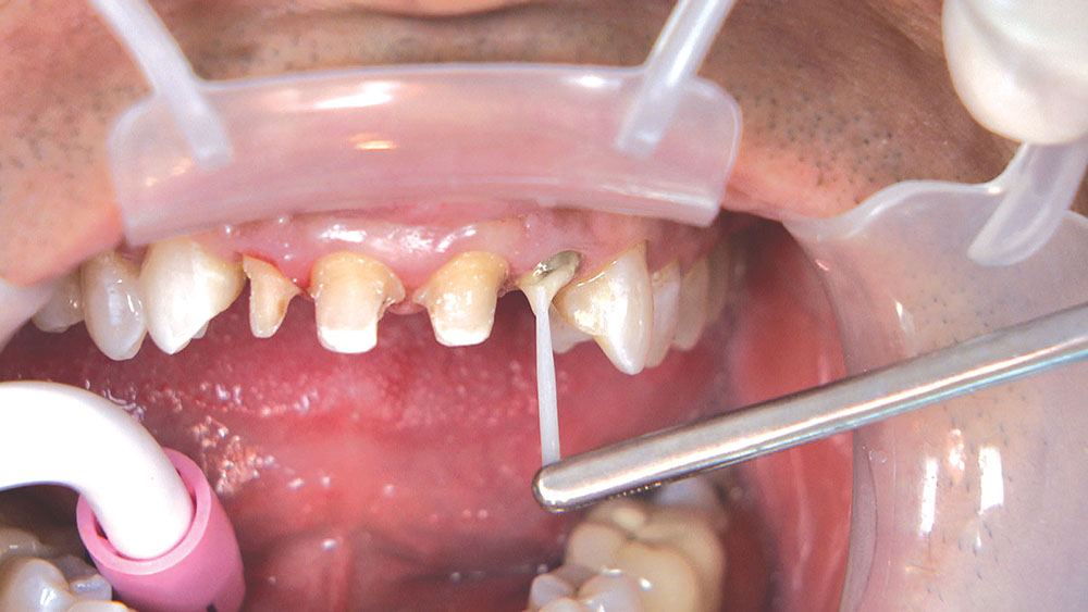
2. Placing the Post
The “post” is a small, thin rod. Your dentist will cement or bond this post into the prepared space in the root canal. This post acts like an anchor or a piece of rebar in concrete. It connects the root of the tooth to the top part of the tooth.
3. Building the Core
Once the post is secure, the dentist applies a filling material around the top of it. This is the “core.” They build up this material to resemble the shape of a small tooth. This buildup replaces the missing tooth structure and provides the surface area needed for the final crown.
4. The Crown Preparation
After the core is hardened and shaped, your tooth is ready for the crown. The dentist will take a digital scan n impression (mold) of this newly built structure and send it to a lab to create your custom crown.
Types of Posts: What Goes in My Mouth?
Not all posts are created equal, and your dentist will choose the best one based on which tooth is being worked on and how much structure remains.
Prefabricated Posts
These are ready-made posts that come in various shapes and sizes. They are commonly used because they can be placed in a single visit.
- Fibber Posts: These are popular because they are flexible (similar to a natural tooth) and tooth-coloured, meaning they won’t show a dark shadow through your crown.
- Metal Posts: These are stainless steel or titanium. They are very strong but can be rigid.
Cast Posts
If the root canal has an unusual shape, a prefabricated post might not fit well. In these cases, a custom “cast post” is made in a dental lab to fit your specific tooth root perfectly. This usually requires two visits: one to make the mould and one to cement the custom post.
Does It Hurt?
This is the question on everyone’s mind. The short answer is: generally, no.
Because the post goes into a tooth that has already had a root canal, the nerve is gone. You shouldn’t feel pain during the placement. However, dentists typically use local anaesthesia to ensure the surrounding gums and tissues are numb, and you are completely comfortable.
You might experience some minor soreness in the gums or jaw afterward, just like with any dental work, but this usually subsides quickly with over-the-counter pain relievers.
Caring for Your Restored Tooth
Once your post, core, and crown are in place, you can treat the tooth much like your natural teeth, but with a little extra mindfulness.
While the restoration is strong, a tooth that has had a root canal is essentially “dead” and can be more brittle than a live tooth. Avoid using that tooth to crack open nuts, chew on ice, or open packaging.
Maintain excellent oral hygiene—brushing twice a day and flossing daily—to prevent decay from starting at the gum line where the crown meets the tooth. With proper care, a tooth restored with a post and core can last for many years, allowing you to smile and eat with confidence.
Saving Your Smile
The recommendation of a post and core is a sign that your dental team is committed to preserving your natural smile. It bridges the gap between a damaged tooth and a fully functional restoration. By providing the necessary support for a crown, this procedure allows you to keep your natural tooth root, which is always better for your jawbone health than an extraction.
If you have questions about the materials being used or the timeline of your treatment, never hesitate to ask your dentist. They are there to help you understand your health and feel comfortable with your care.
